Fraturas isoladas da fíbula são incomuns, geralmente resultado de um trauma direto em topografia do osso. Veja um caso recente dessa lesão …
Entenda a Síndrome do Estresse Tibial/Canelite A canelite, tecnicamente conhecida como Síndrome do Estresse Tibial, é uma das lesões mais temidas por …
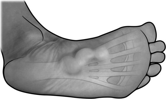
A saúde dos nossos pés é fundamental para nossa mobilidade e bem-estar. Uma estrutura muitas vezes negligenciada, mas de extrema importância, é …
Você já “torceu o pé”? É bem provável que sim… Mas o que de fato é torcer o pé? Qual a ciência …



